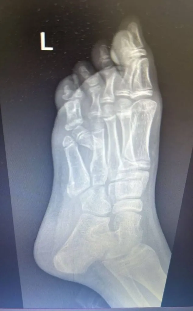
Уникальную операцию провели врачи Алматы для 10-летней девочки-подростка, которая появилась на свет с врожденным дефектом — шестым пальцем на левой ноге, передаёт CMN.KZ
Специалисты поясняют, что такая аномалия с раннего детства создаёт человеку множество неудобств. В частности, девочке приходилось носить разную обувь — для левой ноги приходилось покупать туфли на несколько размеров больше. Причём это создавало и косметический дефект, что влияло на самооценку ребёнка.
«Со временем ситуация становилась все сложнее, так как выбор подходящей обуви становился почти невозможным. Родители долго искали пути решения проблемы, операцию делать боялись. В итоге обратились к хирургам детской городской клинической больницы № 2», – пояснили в управздраве Алматы.


Сложнейшее хирургическое вмешательство провели травматологи — ортопеды совместно с коллегами из Клиники высоких медицинских технологий имени Пирогова из Санкт-Петербурга.
«Сложность операции заключалась в том, что перед нами стояла задача не просто удалить дополнительный палец, а ещё и плюсневую кость, которая давала ненужную аномальную ширину стопе. Также при обследовании выявили аномалию расположения нервов и кровеносных сосудов, что требовало работы под микроскопом», — рассказал заведующий отделением травматологии ДГКБ № 2 Ерлан Садырбалин.
По прогнозам врачей девочка в скором времени сможет вернуться к обычной жизни, без необходимости скрывать свою ногу и испытывать стеснение.
В Актюбинской области начали расследование по факту смерти семимесячного малыша. Вместо того, чтобы экстренно созвать консилиум с врачами из Актобе и вызвать санавиацию, медики отправили мальчика с матерью на такси в районную больницу. По мнению родителей, это стоило ему жизни.
Подписывайтесь на официальный Telegram-канал CMN.KZ